details-image pro, 11 2025

Rizikový analyzátor parodontitidy

Posuďte své riziko parodontitidy

Tento analyzátor vám pomůže posoudit vaše riziko parodontálního onemocnění na základě vašich zdravotních faktorů a návyků. Čím vyšší riziko, tím důležitější je pravidelná kontrola u dentálního hygienisty.

Vaše riziko parodontitidy

Stačí jednou zaznamenat, jak vás zubní lékař řekne: kyretáž zubů, a už se vám začne zvyšovat tep. Myslíte si, že to bude bolestivé, náročné nebo dokonce nezbytné? Nechte se přesvědčit. Kyretáž není trest za špatnou hygienu - je to léčba, která může zachránit vaše zuby ještě předtím, než si to uvědomíte.

Co je vlastně kyretáž zubů?

Kyretáž zubů je léčba parodontálního onemocnění, tedy onemocnění dásní a kosti, která udržuje zuby na místě. Když se na zubech hromadí zubní kámen a bakterie, vytvářejí se tzv. zubní kapsle - mezery mezi zubem a dásní, které se postupně zvětšují. Tyto kapsle jsou ideální prostředí pro škodlivé bakterie, které ničí kost a uvolňují zuby.

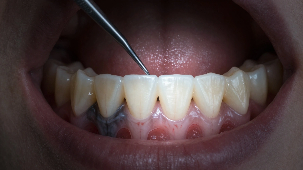
Kyretáž znamená, že zubní lékař nebo parodontolog pečlivě vyčistí tyto kapsle od zubního kamene, plaku a infikované tkáně. Používá speciální nástroje - kyrety - které jsou navržené tak, aby dosáhly i do hlubokých míst pod dásní, kam se běžná kartáček nebo nit nemůže dostat.

Nejde o „čištění“ jako u běžného očištění. Jde o léčbu. Když se dásně začnou odškrcovat od zubu, ztrácíte podporu, která drží zuby na místě. Kyretáž zastaví tento proces - a v mnoha případech dokonce umožní dásním se znovu přilepit k zubu.

Kdy je kyretáž potřeba?

Není to něco, co se dělá jen proto, že „je to dobré“. Kyretáž se doporučuje, když máte prokázané parodontální onemocnění. Značky, které byste neměli ignorovat:

  • Dásně krvácejí při čištění nebo jídle
  • Dásně jsou červené, opuchlé nebo citlivé
  • Zuby se zdají být delší - dásně se stahují
  • Objevují se mezery mezi zuby, kde dříve nebyly
  • Máte trvalý zápach z úst, i když se čistíte
  • Zuby se začínají hýbat

Když zubní lékař změří hloubku těchto kapslí a zjistí, že jsou hlubší než 4-5 mm, je kyretáž nezbytná. U zdravých dásní je hloubka 1-3 mm. Všechno víc je varovným signálem.

Nejčastější příčiny? Špatná hygiena, kouření, cukrovka, genetika nebo stres. Ale klíčové je: nejde o to, kdo je vinen - jde o to, co dělat dál.

Co se při kyretáži přesně děje?

Proces probíhá ve dvou fázích: poddáňová kyretáž a odstranění infikované tkáně. Nejprve vám lékař podá lokální anestézii - takže nebudete cítit nic. Některé kliniky nabízejí i sedaci, pokud máte strach.

Poté použije nástroje, které vypadají jako malé nožičky s ostrými hranami. Ty se opatrně vloží pod dásně a odstraní zubní kámen, plak a poškozenou tkáň. V některých případech se používají i ultrazvukové nástroje, které rozloží kámen pomocí vibrací a vody.

Proces trvá obvykle 45-90 minut na jednu část úst - například horní čelist nebo dolní čelist. Většinou se to dělá ve dvou sezeních, aby se minimalizovalo zatížení a zvýšila pohodlí.

Nejde o „výměnu“ zubů. Jde o to, aby se dásně mohly zacelit kolem zubu a zpět se přilepit. To je cíl. A to se daří u 80-90 % pacientů, kteří následují pokyny po léčbě.

Je kyretáž bolestivá?

Ne. Během samotného zákroku neucítíte nic. Anestézie funguje dobře - až na výjimky, kdy je tkáň příliš zánětlivá. V těch případech lékař může nejprve podat protizánětlivé léky nebo zákrok rozdělit na více dílčích sezení.

Po anestézii můžete cítit lehké nepříjemnosti - podobné jako po vytahování zubu. Dásně mohou být citlivé, trochu bolí při jídle nebo při doteku. To je normální a trvá 2-5 dní. Někteří pacienti cítí mírné zvýšení teploty - to je reakce těla na léčbu, ne infekce.

Nezapomeňte: bolest není příznakem, že něco šlo špatně. Je to příznak, že tělo hojí. Pokud po týdnu máte silnou bolest, hnis nebo horko, obraťte se na lékaře. To už není normální.

Srovnání zdravých a nemocných dásní: těsné přilnutí vs. hluboké kapsle s plakem.

Co dělat po kyretáži?

Prvních 24 hodin: nejezte horké, kyselé nebo tvrdé potraviny. Nečešte si zuby přímo na dásní - místo toho použijte měkký kartáček a jemně se dotýkejte. Používejte solný pláchnutí (1 šálka teplé vody + 1/2 lžičky soli) dvakrát denně po dobu týdne.

Od druhého dne můžete začít používat dentální nit - ale opatrně. Nezatlačujte ji do dásní, jen ji jemně vložte mezi zuby a posuňte nahoru a dolů. Některé kliniky doporučují speciální nit s antimikrobiálním účinkem - zeptejte se.

Nezapomeňte na návštěvu kontrolního vyšetření. Obvykle je to za 4-6 týdnů. Tam lékař zkontroluje, jestli se dásně zacelily, jestli je hloubka kapslí klesla a jestli je zánět pod kontrolou.

Největší chyba? Lidé si myslí, že po kyretáži je vše vyřešené. Není. Bez pravidelné hygieny se kámen a bakterie vrátí za 6-12 měsíců. To je důvod, proč je potřeba každé 3-6 měsíců navštěvovat hygieničku - ne jen zubaře.

Co se stane, když kyretáž neprovedete?

Pokud necháte parodontální onemocnění běžet, dásně se budou stále více stahovat. Zuby se začnou hýbat. Kost kolem zubů se rozpadá. A pak nastane bod, kdy už není možné nic dělat - jen vytahovat.

V České republice je každý pátý dospělý trpí středně těžkou nebo těžkou formou parodontitidy. Mnozí si toho nevšimnou, dokud nezačnou zuby padat. A pak už není možné jen „zakládat“ implantát - nejprve je potřeba zastavit rozpad kosti. To je drahé, složité a často neúspěšné.

Kyretáž je levnější, méně invazivní a mnohem účinnější, když ji uděláte včas. Stojí přibližně 1 500-3 500 Kč za čelist - v závislosti na rozsahu. Vytahování zubu a následná protetika stojí 10-20 tisíc Kč za jeden zub. A to je jen začátek.

Kdo by měl kyretáž dělat?

Není to jen pro lidi, kteří „nečistí zuby“. I ti, kdo se čistí každý den, mohou mít genetickou predispozici nebo závažnější zánět. Některé osoby mají přirozeně tenčí dásně nebo slabší imunitní odpověď na bakterie.

Je vhodné provést vyšetření parodontálního stavu každému, kdo:

  • Má více než 35 let
  • Kouří nebo už kouřil
  • Má cukrovku
  • Má rodinnou historii ztráty zubů
  • Už někdy měl zánět dásní
  • Je těhotná (změny hormonů zvyšují riziko)

Nemusíte čekat, až vás něco bolí. Stačí jedna návštěva u parodontologa - a on vám řekne, jestli máte problém. A pokud ano, jak ho řešit.

Průhledná dásňová tkáň ukazuje obnovu kosti po kyretáži, nástroj nad regenerující oblastí.

Je kyretáž bezpečná?

Ano. Je to jedna z nejčastěji prováděných léčebných procedur v stomatologii. Rizika jsou minimální. Možné komplikace: dočasná citlivost, mírné krvácení, zvýšená bolest - ale jen pokud se nebudete řídit pokyny.

Neexistuje žádná důkazná studie, která by ukazovala, že kyretáž způsobuje infekci v těle nebo poškozuje zuby. Naopak - studie z Journal of Clinical Periodontology ukazují, že pacienti po kyretáži mají o 60 % nižší riziko ztráty zubů během následujících 5 let.

Je to léčba, která chrání vaše zuby, vaše ústa a dokonce i vaše celkové zdraví. Parodontitida je spojena s rizikem srdečních onemocnění, mrtvice a komplikací těhotenství. Když zastavíte zánět v ústech, zlepšíte i celkový stav těla.

Co je lepší: kyretáž nebo jen čištění?

Čištění (prophylaxe) je prevence. Kyretáž je léčba. Pokud máte zubní kámen, ale dásně jsou zdravé - stačí čištění. Pokud máte kámen + krvácení dásní + hloubka kapslí nad 4 mm - potřebujete kyretáž.

Některé kliniky nabízejí „hluboké čištění“ jako alternativu. To je marketing. Pokud se používají jen ultrazvuk a polévací nástroje, ale nevyčistí se pod dásní, nejde o kyretáž. To je jen povrchové čištění.

Nechte si od lékaře ukázat výsledky vyšetření - mapa dásní s hloubkami. Pokud máte někde 5 mm nebo více, není místo na odkládání.

Co se stane po kyretáži - dlouhodobě?

Po úspěšné kyretáži se dásně zacelí. Zuby se přestanou hýbat. Zápach zmizí. Můžete jíst, mluvit a smát se bez strachu.

Ale tohle neznamená, že jste „vyléčení“. Parodontitida je chronické onemocnění - jako hypertenze. Musíte ji řídit. To znamená:

  • Čištění zubů dvakrát denně (ne jen ráno)
  • Nit denně - ne jen když vás něco bolí
  • Kontrola u hygieničky každé 3-6 měsíců
  • Ne kouřit
  • Pravidelné vyšetření u parodontologa - alespoň jednou za dva roky

Je to práce. Ale práce, která vám vrátí zuby, které jste měli - a které si necháte na celý život.

Je kyretáž zubů bolestivá?

Během samotného zákroku neucítíte bolest, protože se používá lokální anestézie. Po zákropu můžete cítit mírnou citlivost nebo nepříjemnost, která trvá obvykle 2-5 dní. Silná bolest, hnis nebo horko po týdnu je neobvyklé a vyžaduje návštěvu lékaře.

Kolik stojí kyretáž zubů v České republice?

Cena se pohybuje mezi 1 500 a 3 500 korunami za jednu čelist, v závislosti na rozsahu zákropu a klinice. Některé pojišťovny částečně hradí náklady, pokud je zákrok indikován lékařem. Vždy se zeptejte na detaily smlouvy s vaší pojišťovnou.

Je kyretáž nutná, i když nebojí zuby?

Ano. Ztráta zubů je pozdní příznak. Dříve než zuby začnou padat, dochází k postupnému rozpadu kosti pod dásní. Pokud se dásně krvácí, jsou opuchlé nebo citlivé, už je přítomno onemocnění. Kyretáž zastaví rozpad, i když zuby ještě nejsou volné.

Může kyretáž zubů způsobit ztrátu zubů?

Ne. Kyretáž je léčba, která zabraňuje ztrátě zubů. Pokud byste zákrok ne provedli, zuby by se mohly v důsledku rozpadu kosti postupně uvolnit a padly. Kyretáž je opakem - zachraňuje zuby.

Je možné kyretáž zubů provést během těhotenství?

Ano. Těhotenství zvyšuje riziko zánětu dásní. Kyretáž je bezpečná ve druhém trimestru, pokud je provedena s opatrností a pod dohledem lékaře. Doporučuje se ji provést, protože zánět dásní je spojen s rizikem předčasného porodu.