details-image led, 16 2026

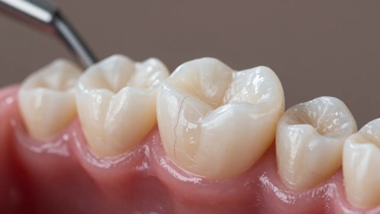
Posudek prasklé zubní skloviny

Krok 1: Popište své příznaky

Důležitost akce

Co máte dělat nyní

Prasklá zubní sklovina není jen estetický problém. Je to prasklá zubní sklovina - a to znamená, že váš zub je ohrožen. Může to začít jen jemnou čárou, kterou si všimnete, když se díváte do zrcadla. Ale pokud ji ignorujete, může se stát z ní velká bolest, infekce nebo dokonce ztráta zubu. Ne každá prasklina se projeví hned. Některé se objeví až po měsících, když se do ní začne zasáhávat bakterie nebo když ji zatížíte těžkou jídelníčkovou zátěží.

Co vlastně je prasklá zubní sklovina?

Zubní sklovina je nejtvrdší tkáň v lidském těle. Její úloha je chránit zubní dřeň a zubní kmen. Ale i nejtvrdší materiál má své hranice. Prasklina v sklovine může vzniknout z různých důvodů: třeba kvůli žvýkání tvrdého oříšku, nárazu při sportu, brnění zubů během spánku, nebo jen kvůli věku - sklovina se s časem může ztenčit a stát se křehčí.

Praskliny se dělí podle hloubky:

  • Praskliny v povrchu - jen na sklovine, nezasahují do zubního dřeně, často bez příznaků
  • Praskliny až po dřeň - bolest při žvýkání, citlivost na teplotu, často infekce
  • Vertikální praskliny - jdou od korunky až k kořeni, těžko léčitelné, často vedou k ztrátě zubu

Nejnebezpečnější jsou ty, které nejsou vidět. Můžete mít prasklinu, která se táhne pod dásní, a přesto si nevšimnete žádného problému - dokud vás nezačne bolet.

Co dělat hned, když si všimnete praskliny?

Nemusíte čekat na návštěvu zubaře. Pokud si všimnete praskliny, udělejte tři věci hned:

  1. Nežvýkejte na tom zubu. I když to nebolí, zátěž může prasklinu rozšířit.
  2. Vypláchněte úst vodou s solí. Jedna špetka soli v půl sklenici teplé vody - pomůže udržet oblast čistou a sníží riziko infekce.
  3. Nepoužívejte silné zubní pasty. Ty s aktivními látkami pro citlivé zuby mohou prasklinu ještě více podráždit. Použijte běžnou pastu s fluoridem.

Pokud máte bolest, můžete si vzít paracetamol - ale ne ibuprofen. Ten způsobuje zvýšené krvácení, což může být problém, pokud je prasklina blízko dásně.

Když jde k zubaři - co se stane?

Zubař nejdřív zkontroluje zub pomocí zrcátka a světla. Ale často to nestačí. Pro hlubší praskliny použije:

  • Diagnostický barvivový test - nanesou speciální barvivo, které se vnikne do praskliny a zviditelní ji
  • RTG snímek - ukáže, jestli prasklina sahá k kořeni nebo způsobila infekci v dřeni
  • Optickou mikroskopii - zvětšení až 20x, aby viděli přesně, kam prasklina sahá

Po diagnostice se rozhodne o léčbě. Neexistuje jedno řešení pro všechny praskliny.

Pacient pláchnout ústa solným roztokem před zrcadlem.

Léčba praskliny - podle hloubky

1. Povrchová prasklina (bez bolesti)

Tady stačí často jen pozorování. Zubař vám může navrhnout:

  • Zubní náplň - kompozitní materiál, který zapečetí prasklinu a zabrání vniknutí bakterií
  • Protective lacquer - speciální vrstva s fluoridem, která posílí sklovinu kolem praskliny

Nejsou potřeba žádné zásahy do dřeně. Stačí pravidelné kontroly každých 6 měsíců.

2. Prasklina, která sahá k dřeni (bolest při žvýkání)

Tady už není místo pro ploché náplně. Potřebujete:

  • Kořenovou léčbu - odstranění poškozené dřeně, vyčištění kanálků, naplnění speciální pastou
  • Korunku - po léčbě dřeně je zub křehký. Korunka ho ochrání jako přilba. Může být z kovu, zirkonia nebo keramiky.

Bez korunky se zub po kořenové léčbě často zlomí. To je běžná chyba - lidé si myslí, že když už je léčená dřeň, zub je „v pořádku“. Není.

3. Vertikální prasklina (od korunky k kořeni)

Tady je situace těžší. Pokud prasklina sahá pod dásňovou čáru, zubař většinou doporučí extrakci - tedy vytažení zubu. Existují výjimky, ale jen pokud je prasklina velmi krátká a zub není zatížený žvýkáním. V takovém případě se někdy používá laserová sealant léčba - ale je to pokročilá metoda, kterou provádí jen několik klinik v Česku.

Co se nestane - když prasklinu necháte být?

Někteří lidé si myslí: „Když to nebolí, tak to není důležité.“ To je největší omyl.

Prasklina je jako štěrbinový most. Když se do ní dostane bakterie, začne se šířit do dřeně. To vede k:

  • Infekci dřeně - bolesti, otoky, hnisání
  • Abcesu - hnisový váček u kořene, který může způsobit infekci v obličeji
  • Ztrátě zubu - když se infekce rozšíří na kost, zub se neudrží

Výzkum z University of Michigan z roku 2024 ukázal, že 68 % pacientů s nelečenou prasklinou ztratilo zub během 18 měsíců. To není náhoda - to je postupný proces, který můžete zastavit.

Jak předcházet prasklinám?

Předcházet je vždy jednodušší než léčit. Zde je co dělat:

  • Nežvýkejte led, ořechy, kosti, nebo tvrdé bonbony - to je nejčastější příčina
  • Používejte ochrannou nápravu - pokud brníte zuby nebo hrajete sport, náprava je nezbytná
  • Pravidelné kontroly každých 6 měsíců - zubař uvidí prasklinu dřív, než ji uvidíte vy
  • Používejte zubní pastu s fluoridem - posiluje sklovinu
  • Neužívejte zuby jako nástroje - otevírání láhví, trhání obalů - to poškozuje sklovinu
Konceptuální znázornění vertikální praskliny v zubu s vnikáním bakterií.

Co se stane po léčbě?

Po zákroku je důležité dodržovat několik pravidel:

  • 24 hodin nežvýkejte na tom zubu - i když máte korunku, materiál potřebuje čas, aby se zcela zatvrdil
  • Nejedzte horké nebo studené potraviny hned po léčbě - citlivost může trvat týden
  • Čistěte zuby jemně, ale pečlivě - používejte jemnou kartáček a mezizubní kartáčky
  • Přijďte na kontrolu za 2 týdny - zubař zkontroluje, jestli je vše v pořádku

Pokud po léčbě zůstane bolest, citlivost nebo otok - nečekáte. Zavolejte zubaře hned. To není normální.

Je možné prasklinu úplně vyléčit?

Prasklina se nezahojí sama. Sklovina nemá krevní cévy - nemůže se regenerovat. Ale můžete ji zachránit. Když ji včas zapečetíte, ochráníte ji před infekcí a zatížením, zub vám může sloužit dalších 10-20 let. Některé korunky trvají i déle.

Nikdy neříkejte: „To je jen malá prasklina.“ Malá prasklina může být velký problém v budoucnu.

Může prasklá zubní sklovina způsobit bolest hlavy?

Ano. Když je prasklina hluboká a zub je zatížený žvýkáním, může dojít k přetížení čelistních svalů. To může způsobovat bolesti hlavy, zejména v oblasti temene nebo za ušima. Někdy se to překrývá s migrénou, ale základem je problém se zubem.

Je možné prasklinu vidět na RTG snímku?

Ne vždy. RTG ukazuje hlavně strukturu kosti a dřeně. Malé praskliny v povrchu skloviny jsou na něm neviditelné. Zubař používá RTG spíše k tomu, aby zjistil, jestli prasklina způsobila infekci v kořeni nebo poškodila kost.

Může prasklina vzniknout i u zubu s náplní?

Ano. Náplň je jiný materiál než sklovina. Když se náplň zhroutí, rozšíří se nebo se oddělí od zubu, může vzniknout prasklina kolem ní. To je častá příčina bolesti u starších náplní.

Je lépe léčit prasklinu hned nebo čekat na bolest?

Léčit hned. Každý den, kdy prasklinu necháte, se zvětšuje riziko infekce. Léčba v počáteční fázi je levnější, rychlejší a nezabere vám žádný čas. Když začne bolet, je často potřeba kořenová léčba, korunka nebo dokonce vytažení.

Může prasklina vzniknout i u zubu, který má korunku?

Ano. Korunka chrání, ale nezabraňuje všemu. Pokud je pod ní zub poškozený nebo křehký, může se pod ní vytvořit nová prasklina. To se stává, když je zub příliš zatížený nebo když korunka není správně přizpůsobená.

Co dělat, když se vám zub zlomil úplně?

Než se rozběhnete k zubaři, udělejte to:

  • Uložte zubní kus do mléka nebo solného roztoku - to udrží buňky živé
  • Nepřidržujte zub v ruce - držte ho za korunku, ne za kořen
  • Nečistěte ho vodou - jen opatrně opláchněte
  • Co nejdříve se obraťte na zubaře - v prvních 30 minutách je šance na záchranu nejvyšší

Ne každý zub se dá znovu připevnit. Ale pokud to zvládnete rychle, existuje šance. A to je důvod, proč je důležité vědět, co dělat - nejen když máte prasklinu, ale i když se zub zlomí.